Por Thayane Furtado e Felipe Pohlmann
Introdução
O implante Maestro Superiore representa uma evolução do modelo Maestro convencional, mantendo e aprimorando características macro e microgeométricas fundamentais. O Maestro original já incorporava câmaras de cicatrização – pequenos espaços entre as espiras do parafuso que reduzem a compressão do tecido ósseo durante a instalação e servem como nichos para estabilização de coágulos sanguíneos, favorecendo a vascularização local e uma osteogênese mais acelerada (CIRANO et al., 2024). Evidências pré-clínicas mostram que os espaços entre as espiras do implante são rapidamente preenchidos por osso novo. Logo após a instalação, forma-se inicialmente um osso mais imaturo, que se deposita diretamente sobre a superfície do implante e na parede óssea ao redor. Com o tempo, esse osso inicial é remodelado em osso mais organizado e resistente, fortalecendo a estabilidade do implante dentro das câmaras de cicatrização. Esse mecanismo diminui a necrose de compressão e a reabsorção óssea ao redor do implante, aumentando a quantidade e qualidade do contato osso-implante de forma precoce. O Maestro Superiore preserva essas câmaras de cicatrização interespirais benéficas e as aprimora por meio de um novo processo de jateamento de superfície e de uma microgeometria otimizada. A superfície tratada apresenta microrrugosidades controladas (topografia microtexturizada) que favorecem a adesão celular e a atividade osteoblástica inicial, elevando o potencial de osseointegração do implante. Sabe-se que implantes com superfícies microtexturizadas (por exemplo, jateadas e atacadas ao ácido) promovem maior adsorção de proteínas do plasma e facilitam a fixação de osteoblastos na superfície titanizada, resultando em melhor formação óssea e maior percentual de contato osso-implante em comparação às superfícies usinadas lisas (GITTENS, R. A. et al.2014).
Além dos avanços no implante, a evolução dos componentes protéticos e dos fluxos digitais têm ampliado os resultados estéticos e funcionais em Implantodontia. O pilar Ideale, da Implacil Osstem, anodizado em tom dourado, favorece a integração tecidual e melhora a estética em comparação a pilares de titânio convencionais, especialmente em biotipos gengivais finos. A anodização contribui para maior adesão celular, redução inflamatória e formação de um selo mucoso estável. Opticamente, o tom dourado evita a sombra acinzentada, conferindo aspecto gengival mais natural.
No laboratório, o fluxo digital CAD/CAM tornou o processo mais ágil e previsível. Scanners intraorais permitem moldagens virtuais precisas, eliminando distorções das técnicas analógicas e reduzindo consultas e tempo clínico. A comunicação com o laboratório é imediata, otimizando prazos e diminuindo ajustes. As coroas fresadas em zircônia monolítica oferecem alta resistência (840–1600 MPa), precisão de adaptação e eliminam riscos de lascamento comuns às metalocerâmicas.
Este trabalho relata o caso clínico de uma paciente reabilitada com implante Maestro Superiore 4,0 × 9 mm no dente 16, associado ao pilar Ideale e coroa monolítica em zircônia confeccionada por fluxo digital. Serão descritos planejamento, técnica cirúrgica, acompanhamento da osseointegração com ISQ, reabertura, escaneamento e confecção da restauração definitiva.

Planejamento
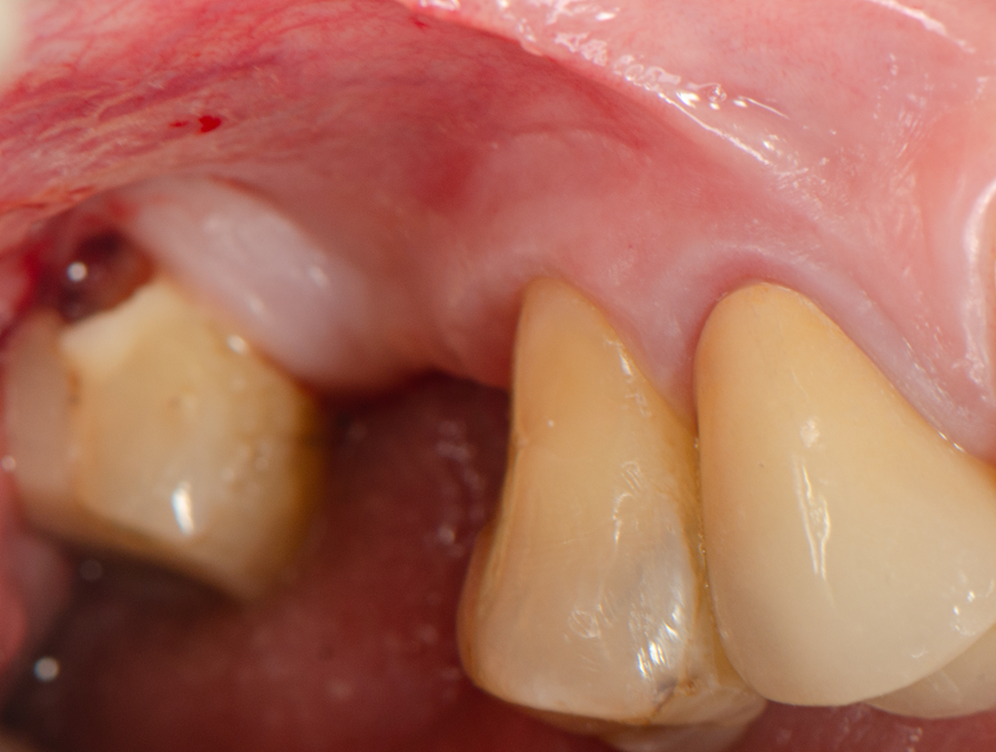
A paciente, de 57 anos, apresentava ausência do dente 16 e queixa mastigatória. A qualidade óssea foi estimada como tipo III (osso trabecular moderadamente denso) e, diante do biotipo periodontal favorável (gengiva espessa), optou-se pelo implante Cone Morse Maestro Superiore 4,0 × 0,9 mm. Sua macrogeometria favorece a formação óssea inicial e otimiza a estabilidade mesmo em osso de densidade moderada, permitindo alto torque de inserção sem compactação excessiva graças às câmaras de cicatrização que aliviam a pressão interna.

No planejamento protético, definiu-se o uso de um pilar Ideale 4,5 × 4 mm, rotacionalmente livre, que permite instalação em qualquer posição e pode receber coroas cimentadas ou parafusadas. A escolha visava otimizar a resposta tecidual e oferecer flexibilidade restauradora. Optou-se por coroa unitária parafusada diretamente ao pilar, confeccionada em zircônia monolítica pela sua durabilidade e estética. O fluxo seria totalmente digital: após a osseointegração, o pilar seria escaneado com scan body específico e a coroa desenhada virtualmente para fresagem em zircônia de alta resistência.
Técnica cirúrgica
Sob anestesia local, realizou-se incisão crestal na área edêntula do dente 16. O sítio foi marcado com broca lança e fresado conforme protocolo Implacil Osstem para implantes de 4,0 mm. O implante Maestro Superiore 4,0 × 9 mm foi instalado, apresentando torque progressivamente elevado até a posição final, com plataforma 2 mm infraóssea. O torquímetro registrou 50 Ncm, confirmando excelente estabilidade primária, condição favorável para carga precoce ou imediata, em linha com a literatura que destaca a alta fixação inicial dos implantes Maestro sem comprometer o osso circundante.




Acoplou-se imediatamente um cicatrizador ao implante, afim de facilitar o momento de reabertura e foi realizada a sutura.
Reabertura e acompanhamento
Após 45 dias, a paciente retornou para reavaliação, apresentando tecido mole bem cicatrizado. Considerando o alto torque inicial e as características do implante Maestro, além de indicativas de osseointegração acelerada, avaliou-se a estabilidade com o teste de frequência de ressonância (RFA) pelo Osstell.
Com o smart peg fixado ao implante 16, as leituras vestíbulo-palatina e mésio-distal registraram ISQ 77, valor classificado como de alta estabilidade (≥70), compatível com implantes aptos à carga protética segura. Segundo dados clínicos do Osstell, valores nesse patamar confirmam osseointegração adequada, oferecendo respaldo objetivo para avançar no caso e sustentando a decisão clínica baseada em evidência, e não apenas no tempo de cicatrização (MANAS et al., 2025).
Pilar protético Ideale
Com o implante integrado, instalou-se o pilar Ideale 4,5 × 4 mm em titânio anodizado dourado. De corpo único, sem indexação e torqueado a 30 Ncm, é indicado para coroas unitárias cimentadas ou parafusadas.
A cor dourada melhora a estética ao reduzir o fundo acinzentado da mucosa, além de favorecer a adesão celular e diminuir inflamação peri-implantar. Mesmo em biotipos espessos, oferece coloração mais natural e estável (WANG, 2021).
Seu design versátil permite tanto cimentação quanto parafusamento da coroa, dispensando intermediários como bases metálicas ou coifas adicionais e simplificando o fluxo protético.
Fluxo Digital
Na mesma sessão, o pilar Ideale recebeu um scan body específico para captura da posição tridimensional no escaneamento intraoral. O modelo digital 3D foi obtido rapidamente, dispensando moldagens convencionais e aumentando o conforto da paciente.
O fluxo digital mostrou-se mais ágil e previsível, reduzindo distorções e etapas clínicas. Estudos apontam que o escaneamento intraoral é tão preciso quanto moldagens tradicionais e exige menos ajustes oclusais em próteses unitárias (LEE, 2022).
A comunicação com o laboratório também foi facilitada: o arquivo STL e instruções e fotos foram enviados eletronicamente, permitindo início imediato do design da coroa. Esse processo colaborativo trouxe maior previsibilidade, menor necessidade de provas intermediárias e redução do tempo clínico e laboratorial.
Essa eficiência global gera benefícios à clínica e ao paciente: menos visitas de ajuste, redução do tempo de cadeira e, consequentemente, maior satisfação e produtividade.
Restauração Definitiva
Com base nos escaneamentos, o técnico planejou a coroa no software CAD (Exocad), respeitando o espaço protético e o perfil de emergência do pilar Ideale. Optou-se por uma coroa monolítica de zircônia (cor A2), sem porcelana de recobrimento, priorizando resistência, longevidade e estética. O acesso ao parafuso foi posicionado na face oclusal, discretamente lingual, para melhor acabamento estético.
O arquivo CAD foi enviado à manufatura CAM e a coroa usinada em zircônia pré-sinterizada de alta resistência. Após sinterização, adquiriu valores de flexão acima de 1000 MPa, comparáveis ou superiores a ligas metálicas. Diferentemente das metalocerâmicas, a zircônia monolítica é homogênea, praticamente eliminando delaminações. Estudos confirmam baixíssima taxa de fraturas nesse material em comparação a coroas convencionais (OTTONI; BORBA, 2018).
Após caracterizações cosméticas e polimento oclusal, a restauração foi instalada. A adaptação interna foi precisa, a oclusão exigiu apenas ajustes mínimos e o contato proximal foi facilmente ajustado. A fixação foi feita diretamente sobre o pilar Ideale com torque de 20 Ncm, seguido de selamento do acesso com teflon e resina composta.
O resultado clínico e radiográfico mostrou coroa bem adaptada, perfil gengival harmonioso e estética satisfatória. A paciente destacou conforto e rapidez do processo em comparação a moldagens convencionais.
Além dos aspectos mecânicos e estéticos, a zircônia apresenta vantagens biológicas: alta biocompatibilidade, menor reação inflamatória e baixa adesão bacteriana (SINGH et al., 2023), reduzindo risco de peri-implantite e favorecendo estabilidade tecidual a longo prazo.

Conclusão
A reabilitação do primeiro molar superior com o implante Maestro Superiore associada ao pilar Ideale dourado e coroa em zircônia monolítica demonstrou, neste caso clínico, um resultado altamente bem-sucedido do ponto de vista biológico, funcional e estético. O implante de macrogeometria diferenciada atingiu elevada estabilidade inicial (50 Ncm) e permitiu osseointegração acelerada, confirmada por ISQ 77 em 45 dias – um indicativo confiável de que a implantação estava apta para carga com segurança. O uso do dispositivo Osstell proporcionou subsídio objetivo para a decisão de prosseguir com a reabilitação protética em tempo reduzido, individualizando o tempo de cura ao invés de seguir um protocolo fixo.
O pilar protético Ideale anodizado em cor dourada se mostrou versátil e benéfico. Sua instalação direta e possibilidade de uso tanto para coroas cimentadas quanto parafusadas simplificou o fluxo protético, reduzindo componentes intermediários. Histologicamente, a qualidade da interface mucosa-pilar tende a ser favorecida pela superfície anodizada, que promove melhor adesão celular e menor inflamação. Esteticamente, o pilar cumpriu o papel de evitar qualquer translucidez acinzentada na gengiva, contribuindo para um resultado mais natural.
A incorporação do fluxo digital mostrou-se altamente eficiente, diminuindo o número de consultas e aumentando a precisão da reabilitação. A etapa de escaneamento e CAD/CAM resultou em uma coroa final que precisou de ajustes mínimos, evidenciando a assertividade do planejamento virtual. A agilidade na comunicação com o laboratório e a previsibilidade na confecção trouxeram benefícios claros em termos de conforto para a paciente e otimização do tempo clínico e laboratorial. Tais ganhos de produtividade refletem também em melhor rentabilidade clínica, já que menos horas são despendidas por caso, possibilitando atender mais pacientes com excelência.
Em relação à restauração, a escolha pela zircônia monolítica se mostrou acertada para a região posterior. Este material apresentou resistência mecânica muito superior à da porcelana convencional, eliminando o risco de fraturas em camadas de recobrimento. A precisão da tecnologia CAD/CAM garantiu adaptação marginal e oclusal excelente. A literatura já aponta sobrevida elevada para coroas monolíticas, sem as frequentes complicações de lascamento observadas em metalocerâmicas tradicionais. No presente caso, espera-se longevidade da prótese, aliada à manutenção de um periodonto peri-implantar estável.
Em suma, este caso ilustra os avanços integrados na Implantodontia contemporânea – desde o design macrogeométrico do implante que otimiza a osseointegração, passando pela análise quantitativa da estabilidade (Osstell ISQ) orientando a decisão clínica, pelo uso de componentes protéticos biofuncionais (pilar anodizado), até o emprego do fluxo digital completo para confecção de uma prótese de alta performance. A combinação desses fatores resultou em reabilitação previsível, estética e duradoura, elevando a qualidade do tratamento oferecido à paciente.
Referências bibliográficas:
1- GEHRKE, S. A. et al. Can changes in implant microgeometry accelerate the osseointegration process? An in vivo experimental biomechanical and histological evaluations. PLOS ONE, v. 15, n. 5, e0233304, 2020. DOI: 10.1371/journal.pone.0233304.
2- GEHRKE, S. A. et al. Histological and histomorphometrical evaluation of a new implant macrogeometry: a sheep study. International Journal of Environmental Research and Public Health, v. 17, n. 10, p. 3477, 2020. DOI: 10.3390/ijerph17103477.
3- WANG, T. et al. Influence of anodized titanium abutments on the esthetics of the peri-implant soft tissue: a clinical study. Journal of Prosthetic Dentistry, v. 125, n. 3, p. 445-452, 2021. DOI: 10.1016/j.prosdent.2019.12.023.
4- ROMERO-GAVILÁN, F. et al. Effects of different titanium anodized surfaces on peri-implant soft tissue healing around dental abutments: in vitro and proteomic study. Applied Sciences, v. 15, n. 13, p. 7349, 2025. DOI: 10.3390/app15137349.
5- LEE, S. J. et al. A clinical study comparing digital scanning and conventional impression making for implant-supported prostheses: a crossover clinical trial. Journal of Prosthetic Dentistry, v. 128, n. 1, p. 42-48, 2022. DOI: 10.1016/j.prosdent.2020.12.043.
6- OTTONI, R.; BORBA, M. Comportamento mecânico e clínico de próteses monolíticas à base de zircônia: revisão de literatura. Cerâmica, v. 64, n. 372, p. 547-552, 2018. DOI: 10.1590/0366 69132018643722340.
7- LEONARD, G. et al. A study of the bone healing kinetics of plateau versus screw root design titanium dental implants. Clinical Oral Implants Research, v. 20, n. 3, p. 232-239, 2009.
8- COELHO, P. G.; JIMBO, R. Osseointegration of metallic devices: current trends based on implant hardware design. Archives of Biochemistry and Biophysics, v. 561, p. 99-108, 2014.
9- GITTENS, R. A. et al. Implant osseointegration and the role of microroughness and nanostructures: lessons for spine implants. Acta Biomaterialia, v. 10, n. 8, p. 3363-3371, 2014.
10- GEHRKE, S. A. et al. Impact of different titanium implant thread designs on bone healing: a biomechanical and histometric study in dogs. Journal of Clinical Medicine, v. 8, n. 6, p. 872, 2019.
11- MANAS, A. et al. Stability of dental implants using AnyCheck and Osstell devices. Bioinformation, v. 21, n. 3, p. 305-308, 2025. DOI: 10.6026/973206300210305.
12- CIRANO, Fabiano Ribeiro; ÓBICE, Andre Luis Seferian; GIRLANDA, Felipe Fonseca; MONTEIRO, Mabelle Freitas; PIMENTEL, Suzana Peres; CASATI, Marcio Zaffalon; CORRÊA, Mônica Grazieli. May dental implant macro and microgeometry modifications influence peri-implant bone repair in smokers? A randomized clinical trial. BMC Oral Health, v. 24, n. 1475, 2024.
13- Singh PV, Reche A, Paul P, Agarwal S. Zirconia Facts and Perspectives for Biomaterials in Dental Implantology. Cureus. 2023 Oct 11;15(10):e46828. doi: 10.7759/cureus.46828. PMID: 37954766; PMCID: PMC10636592.
Outros artigos para leitura:





