Por Daniel Hiramatsu e Nathalia Pereira Censi Stapani
Uma moldagem precisa do implante é a base para a fabricação de uma boa restauração sobre implantes. Portanto, avaliar e garantir a precisão das moldagens é essencial para alcançar resultados clínicos ideais em restaurações implantossuportadas. Atualmente, o uso de scanner intraoral para a transferência dos implantes é uma realidade comum nos consultórios, porém o escaneamento de arcos totais desdentados continua sendo um desafio quanto à precisão.
A precisão das impressões digitais de implantes é um processo multifatorial influenciado por diversas variáveis, incluindo o tipo de scanner usado, a estratégia de escaneamento, a posição, o número e a distância dos implantes, o nível de experiência do operador e o design dos scan bodies usados para transferir a posição dos implantes ou pilares no arco.
A utilização de scan bodies horizontais demonstra melhor veracidade e precisão quando comparamos com o escaneamento utilizando apenas os scan bodies convencionais. Para isso, eles devem ser conectados, porém não devem ficar unidos, permitindo que o formato do arco seja seguido durante a conexão dos scan bodies.
Neste caso clínico foi utilizado o novo corpo de escaneamento para arcos desdentados totais da Implacil Osstem. Os corpos de escaneamento são encaixados no scan body através de encaixes de precisão e são disponibilizados em três tamanhos diferentes (5, 10 e 15mm) para que eles possam ficam próximos entre si e facilitar a leitura pelos scanners intraorais.











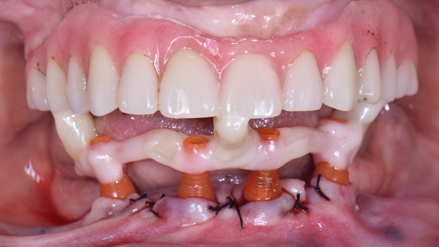
Com o escaneamento validado, demos sequência à confecção da prótese protocolo final.

A utilização do escaneamento intraoral na prática clínica torna os procedimentos mais rápidos e mais confortáveis para o paciente, eliminando as etapas de moldagem em um rebordo recém-operado. E os scan bodies de arco total Implacil Osstem facilitaram o escaneamento de arcos totais desdentados, garantindo precisão nos processos.
REFERÊNCIAS BIBLIOGRÁFICAS
1- Revilla-León M, Cascos R, Lawand G, et al. Accuracy of complete arch nonslinting and noncalibrated splinting implant scanning techniques recorded by using five intraoral scanners. J Prosthet Dent 2025;133:1581.e1-e10.
2- Retana L, Nejat AH, Pozzi A. Effect of splinting scan bodies on trueness of complete-arch implant impression using different intraoral scanners: An in vitro study. Int J Comput Dent. 2023;26:19–28. 33.
3- Wulfman C, Naveau A, Rignon-Bret C. Digital scanning for complete-arch implant-supported restorations: A systematic review. J Prosthet Dent. 2020;124:161–167. 34.
4- Huang R, Liu Y, Huang B, et al. Improved accuracy of digital implant impressions with newly designed scan bodies: An in vivo evaluation in beagle dogs. BMC Oral Health. 2021;21:623.
Outros artigos para leitura:





