Implante Stretto com pilar angulado e reabertura por Roll flap

Matéria da semana - Thayane Furtado e Felipe Pohlmann

Implante Stretto com pilar angulado e reabertura por Roll flap

Por Thayane Furtado e Felipe Pohlmann

Introdução

A agenesia do incisivo lateral superior é a segunda anomalia dentária congênita mais prevalente, presente em cerca de 2% da população. Além do impacto estético e psicológico, pode gerar migração dentária e perda óssea localizada, exigindo planejamento multidisciplinar. Em áreas estéticas, a previsibilidade depende de critérios rigorosos de planejamento cirúrgico e protético, associados a técnicas de manipulação tecidual e ao uso de implantes de diâmetro reduzido além da reabilitação com materiais cerâmicos modernos.

Justificativa clínica e planejamento

Paciente do sexo feminino, 24 anos, apresentava agenesia do dente 22. O espaço mésio-distal limitado indicou o uso do implante estreito Stretto de 3,0 × 11,5 mm. O rebordo alveolar estreito, mais centrado palatinamente, motivou a vestibularização do implante para aproveitar a maior disponibilidade óssea vestibular, garantindo estabilidade e evitando fenestrações.

Diante desse posicionamento, optou-se previamente pelo uso de um Pilar angulado Stretto, recurso que corrigiu a trajetória protética e viabilizou a confecção de uma coroa parafusada sem recorrer a componentes customizados. A integração com transferentes digitais e bibliotecas CAD/CAM reforça a previsibilidade e a segurança do fluxo digital mesmo em casos reabilitados com implantes de diâmetro reduzido como o Stretto.

Outro diferencial foi a anodização rosa do pilar, que favoreceu a estética em biotipo gengival fino, reduzindo sombra acinzentada. Assim, o caso uniu estratégia cirúrgica e protética: implante estreito, pilar angulado e integração digital para alcançar estética natural, função adequada e maior conforto clínico para a paciente.

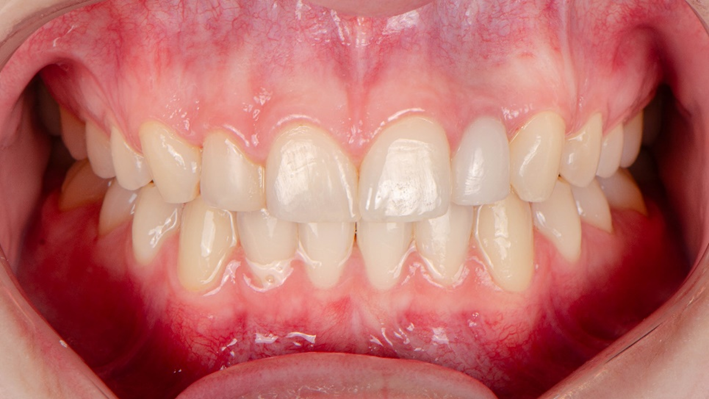
Figura 1 – Situação clínica inicial: paciente com agenesia do incisivo lateral superior esquerdo (dente 22), evidenciando rebordo estreito e espaço protético reduzido para reabilitação com implante.

Técnica cirúrgica

O implante Stretto de 3,0 × 11,5 mm foi instalado na região do dente 22 sob anestesia local, seguindo protocolo minimamente traumático. Utilizou-se retalho muco periosteal para visibilidade e sequência de fresas específicas da Implacil Osstem, respeitando diâmetros e profundidades planejadas. O implante foi posicionado infraósseo, levemente inclinado para vestibular.

Adotou-se cicatrização em dois estágios, com tampa de cobertura e fechamento hermético do retalho, visando osseointegração previsível. O tempo de cicatrização planejado foi de 120 dias. Para manutenção estética e funcional, confeccionou-se um provisório adesivo impresso em 3D, fixado aos dentes vizinhos, que garantiu conforto, preservação gengival e integridade dos tecidos até a fase protética definitiva.

Reabertura com técnica do retalho do rolo (Roll flap)

Após 120 dias de osseointegração, a reabertura foi realizada com a técnica do retalho do rolo. Trata-se de uma abordagem minimamente invasiva que utiliza o tecido conjuntivo local, desepitelizado e “rolado” para a face vestibular, com o objetivo de espessar gengivas finas e melhorar o volume peri-implantar de forma previsível.

Procedimento

1- Incisão de acesso: punch circular sobre o implante para expor a tampa de cobertura, sem descolamento amplo.

2- Desepitelização: remoção da epiderme local com ponta diamantada, preservando o tecido conjuntivo pediculado palatino.

3- Incisões de liberação: duas incisões verticais nos limites mesial e distal para mobilização do retalho.

4- Rolagem: o retalho conjuntivo foi deslocado e “rolado” para a face vestibular, preenchendo a região sulcular e aumentando a espessura marginal gengival.

Figura 2 – Passo a passo da reabertura com técnica de Roll flap e instalação do pilar angulado Stretto.

Benefícios da técnica do Retalho do Rolo

No momento da reabertura, optou-se pelo retalho do rolo, técnica voltada ao aumento de tecido mole em biotipos finos. O procedimento, realizado após a fase de osseointegração, promoveu espessamento gengival localizado sem a necessidade de enxerto em segundo sítio.

Principais benefícios:

  • Ganho de volume tecidual: espessa o biotipo gengival, reduz risco de recessão e mascara possíveis sombras do pilar de titânio;
  • Manutenção de cor e queratinização: o tecido conjuntivo pediculado mantém vascularização, cor e textura compatíveis com a gengiva adjacente;
  • Menor morbidade: Dispensa enxerto de palato, reduzindo dor e desconforto pós-operatório.

Com o tecido cicatrizado e espessado, obteve-se um contorno gengival favorável para a fase protética.

Confecção do provisório oco aparafusado sobre pilar angulado

Na reabertura, instalou-se o pilar angulado Stretto no implante 22 e confeccionou-se um provisório aparafusado, permitindo condicionamento direto dos tecidos peri-implantares. Diferente do primeiro provisório (adesivado), este foi conectado ao pilar.

Etapas da confecção:

1- Instalação do pilar e coifa: pilar angulado parafusado ao implante, seguido de coifa metálica adaptada ao pilar;

2- Posicionamento da coroa impressa: coroa provisória oca, previamente desenhada em CAD/CAM, encaixada sobre a coifa;

3- União com resina flow: espaço interno preenchido e fotoativado, unindo coroa e coifa em um conjunto único;

4- Estabilização: aletas proximais mantiveram a coroa estável durante a polimerização;

5- Finalização: parafuso provisório substituído e torqueado, perfil de emergência ajustado para favorecer a papila e estabilidade tecidual.

O provisório permaneceu em uso por semanas, moldando e estabilizando os tecidos gengivais para receber a coroa definitiva.

Figura 3 – Provisório oco em resina impressa em 3D.

Opções protéticas do Sistema Stretto

A linha de implantes Stretto 3.0 oferece um portfólio completo de componentes protéticos para atender regiões de espaço reduzido, sem perder versatilidade restauradora.

Principais opções

  • Pilar reto: produzido em titânio, indicado quando o implante está bem posicionado; disponível em diferentes alturas, permite coroas cimentadas ou aparafusadas.
  • Pilar angulado Stretto (20°): compensa inclinações vestibulares de até 20°; ideal em incisivos laterais, viabiliza restaurações aparafusadas com emergência palatina, evitando coroas cimentadas. No caso clínico, foi essencial para alinhar estética e função;
  • Base T: componente de perfil baixo que serve como interface CAD/CAM para coroas personalizadas em zircônia ou dissilicato. Expande suporte gengival em implantes estreitos e é opção versátil quando pilares pré-fabricados não atendem ao caso.

Por que o pilar angulado foi essencial neste caso?

A escolha pelo pilar angulado Stretto (20°) foi motivada pela colocação do implante em posição vestibularizada, necessária para preservar a tábua óssea vestibular fina. Se fosse usado um pilar reto, o acesso do parafuso acabaria saindo pela face vestibular ou incisal — comprometendo a estética ou exigindo uma coroa cimentada com munhão personalizado.

O pilar angulado corrigiu esse desvio, reposicionando o canal do parafuso para a face palatina, viabilizando assim uma coroa aparafusada e livre de cimento, ideal para manutenção e limitação de risco biológico.

Além disso, essa angulação permitiu alinhar a plataforma protética de forma mais adequada ao espaço anatômico disponível, sem exigir inclinação excessiva do componente restaurador — o que é particularmente vantajoso em situação de restrição entre dentes adjacentes.

Em síntese, o uso do pilar angulado foi crucial para harmonizar a emergência estética da coroa com a trajetória do implante, assegurando previsibilidade clínica, retratabilidade protética e excelente resultado final — demonstrando a versatilidade do sistema Stretto.

Discussão e vantagens clínicas

Este caso ilustra como a versatilidade do sistema Stretto, associada a um planejamento abrangente, possibilitou uma reabilitação estética, previsível e personalizada de uma condição desafiadora. A combinação de implante de diâmetro reduzido, pilar angulado e manejo criterioso dos tecidos moles e provisórios resultou em sucesso clínico e satisfação da paciente.

Pontos-chave que merecem destaque:

Implante Stretto 3,0 mm: viabilizou a instalação em rebordo estreito sem desgastes excessivos nos dentes vizinhos ou enxertos reconstrutivos. Atendeu à demanda clínica de oferecer solução segura para espaços reduzidos, mantendo previsibilidade;

Componentes protéticos Implacil Osstem: o pilar angulado foi decisivo para um resultado protético favorável, aproveitando a posição óssea disponível e permitindo coroa bem posicionada;

Técnica do Roll flap: possibilitou converter biotipo fino em fenótipo espesso, reduzindo transparência tecidual e aumentando a resiliência peri-implantar. Esse manejo contribuiu para melhor preenchimento de papilas, menor risco de recessão e estabilidade estética a longo prazo.

Figura 4 – Vista intraoral frontal com coroa provisória em posição.

Conclusão

A reabilitação implantossuportada de incisivos laterais superiores agênitos é uma tarefa complexa, porém altamente recompensadora quando bem executada. No caso apresentado, o sucesso do tratamento só foi possível graças a um planejamento antecipado minucioso e à seleção criteriosa de componentes e materiais a cada fase. O implante estreito Stretto viabilizou a instalação numa região de espaço limitado, sem necessidade de procedimentos invasivos adicionais. O pilar angulado permitiu alinhar a prótese de forma perfeita, demonstrando como os componentes da linha Implacil Osstem podem contornar obstáculos anatômicos e alcançar resultados estéticos superiores. A utilização inteligente de próteses provisórias e da técnica do Roll flap assegurará que, no momento da reabilitação definitiva, os tecidos peri-implantares estarão otimizados para receber a coroa.

Pode-se concluir que a soma dessas decisões – embasadas em evidências científicas e viabilizadas pelas soluções da Implacil Osstem – resultou em uma reabilitação estética previsível, biologicamente integrada e personalizada às necessidades da paciente. Relatos como este servem de vitrine para o nível de refinamento técnico alcançável atualmente em Implantodontia, inspirando os clínicos a aliarem rigor científico e ferramentas de qualidade em prol do melhor resultado para nossos pacientes.

Figura 5 – Sorriso final com coroa provisória aparafusada sobre pilar angulado Stretto.

Referências bibliográficas

1- ABRAMS, L. Augmentation of the deformed residual edentulous ridge for fixed prosthesis. The Compendium on Continuing Education in General Dentistry, v.1, n.3, p.205-213, 1980.

2- CRUZ, Ronaldo S.; LEMOS, C. A. A.; DE BATISTA, V. E. S.; YOGUI, F. C.; OLIVEIRA, H. F. F.; VERRI, F. R. Narrow-diameter implants versus regular-diameter implants for rehabilitation of the anterior region: a systematic review and meta-analysis. International Journal of Oral and Maxillofacial Surgery, v.50, n.5, p.674-682, 2021. DOI: 10.1016/j.ijom.2020.10.001.

3- POLDER, Bart J.; VAN’T HOF, Martin A.; VAN DER LINDEN, Frans P. G. M.; KUIJPERS-JAGTMAN, Anne M. A meta-analysis of the prevalence of dental agenesis of permanent teeth. Community Dentistry and Oral Epidemiology, v.32, n.3, p.217-226, 2004. DOI: 10.1111/j.1600-0528.2004.00158.x.

4- SCHARF, David R.; TARNOW, Dennis P. Modified roll technique for localized alveolar ridge augmentation. International Journal of Periodontics & Restorative Dentistry, v.12, n.5, p.415-425, 1992.

5- SCHIEGNITZ, Eik; AL-NAWAS, Bilal. Narrow-diameter implants: a systematic review and meta-analysis. Clinical Oral Implants Research, v.29, suppl.16, p.21-40, 2018. DOI: 10.1111/clr.13272.

6- SETHI, Ashok; KAUS, Thomas; SOCHOR, Peter; AXMANN-KRCMAR, Detlef; CHANAVAZ, Manuel. Evolution of the concept of angulated abutments in implant dentistry: 14-year clinical data. Implant Dentistry, v.11, n.1, p.41-51, 2002. DOI: 10.1097/00008505-200201000-00013.

7- TUNA, Suleyman Hakan; KEYF, Filiz; PEKKAN, Gurel. The single-tooth implant treatment of congenitally missing maxillary lateral incisors using angled abutments: a clinical report. Dental Research Journal (Isfahan), v.6, n.2, p.93-98, 2009.

8- WEIGL, Paul; TRIMPOU, Georgia; HESS, Pablo; KOLINSKI, Martin; BELLUCCI, Gionata; TRISCIUOGLIO, Davide; FRIBERG, Bertil; LEZIY, Sonia; AL-NAWAS, Bilal; WAGNER, Wilfried; POZZI, Alessandro; OTTRIA, Liliana; WILTFANG, Jörg; BEHRENS, Eleonore; VASAK, Christoph; ZECHNER, Werner. Esthetically driven immediate provisionalization in the anterior zone: 5-year results from a prospective study evaluating 3.0-mm-diameter tapered implants. Clinical Oral Investigations, v.28, art.460, 2024. DOI: 10.1007/s00784-024-05832-x.

Outros artigos para leitura: