Por Diego Klee e Luiz Fernando Martins André
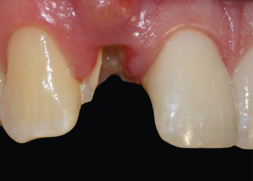
A colocação imediata do implante em sítios de extração frescos, associada a técnicas de preservação óssea, parece capaz de manter um maior volume tecidual. A seleção adequada do implante, assim como seu correto posicionamento tridimensional, são fatores determinantes para o sucesso. Somente buscando uma posição do implante orientada pela futura restauração — com a devida consideração à anatomia do alvéolo e ao formato do dente — é possível atingir o objetivo de uma coroa com aparência natural, que reproduza fielmente o dente original.
Nessas situações, nossa preferência é por implantes cônicos, com plataforma estreita e conexão tipo Cone Morse, posicionados de 4 a 5 mm abaixo do nível da margem gengival correspondente.
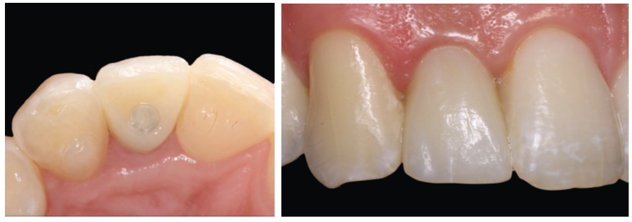
Embora a coroa cimentada sobre implante possa oferecer um resultado estético satisfatório, essa vantagem é contraposta pelos riscos associados ao cimento residual, que pode desencadear resposta inflamatória peri-implantar, além da impossibilidade de remoção ou recolocação da coroa. Por esse motivo, as coroas aparafusadas são preferíveis. O desafio, entretanto, está em posicionar o implante de maneira a permitir uma coroa com um canal de acesso ao parafuso que não interfira na borda incisal nem altere a anatomia lingual.
Estudos anteriores demonstram que a emergência lingual do parafuso é possível em apenas 3,6% dos casos; na maioria, sua localização é vestibular (42%) ou incisal (54,4%), o que frequentemente demanda coroas cimentadas.
Nesse contexto, os pilares angulados com retenção aparafusada representam uma solução eficiente, pois corrigem angulações desfavoráveis do conduto do parafuso e sua interferência com a anatomia da coroa. Assim, ampliam a possibilidade de utilização de coroas aparafusadas, mesmo em casos de colocação imediata de implantes em sítios de extração frescos.




*Este artigo foi publicado na revista ImplantNews Set/Out 2025.
Outros artigos para leitura:





