Reconstrução óssea tridimensional em região posterior mandibular conforme a técnica de Khoury: dois anos de acompanhamento

Matéria da semana Tárcio Skiba

Reconstrução óssea tridimensional em região posterior mandibular conforme a técnica de Khoury: dois anos de acompanhamento

Por Lucas Lima Barros, Vanessa Molina Urteaga, Gaddy Bonzano Salazar, Wolmar Alberto, Bruno Costa Martins de Sá e Tárcio Hiroshi Ishimine Skiba.

Resumo

Neste relato de caso, uma paciente com 52 anos de idade compareceu à clínica, sendo diagnosticada com ausência posterior mandibular bilateral e mucosa alveolar extremamente delicada. O exame de tomografia computadorizada de feixe cônico (TCFC) evidenciou atrofia óssea extrema. Assim, optou-se pela realização de um protocolo cirúrgico em duas etapas: na fase 1, o enxerto gengival livre foi coletado da região palatina para espessamento tecidual e melhora do fenótipo gengival no aspecto mandibular. Na fase 2, a técnica de reconstrução óssea de Khoury foi aplicada, coletando-se lâminas de osso autógeno do ramo, fixadas por parafusos e preenchidas com osso autógeno. Após três meses de cicatrização, os implantes dentários foram instalados com torque final de inserção satisfatório (20 Ncm) e boa estabilidade primária. Após a instalação dos implantes dentários, para ganho de volume tecidual e diminuição da remodelação do tecido ósseo, foi realizada a colocação de enxerto ósseo xenógeno com colágeno (Extra Graft, Implacil Osstem).

Finalmente, os implantes dentários foram reabilitados com próteses cerâmicas definitivas em zircônia monolítica após mais três meses de terapia. Aos dois anos de acompanhamento, uma nova TCFC foi realizada, demonstrando normalidade no local da cirurgia. A sequência cirúrgica adotada resultou em ganho volumétrico significativo, promovendo uma base estável para a instalação dos implantes dentários e a recuperação funcional e estética da região.

Este caso clínico reforça a eficácia da técnica de Khoury em associação com o preparo tecidual prévio como solução viável para casos de atrofia óssea severa na região mandibular posterior.

Introdução

A reabilitação de regiões posteriores da mandíbula atróficaé um dos principais desafios da Implantodontia, em razãoda acentuada reabsorção óssea associada à redução do volumede tecidos moles. Essas alterações comprometem a altura e aespessura do rebordo alveolar, dificultando a instalação segurae estética de implantes dentários.1

Dentre as soluções disponíveis, enxertos autógenosem bloco e técnicas de regeneração óssea guiada são amplamenteutilizados. No entanto, essas abordagens apresentamlimitações quanto à previsibilidade, à morbidade cirúrgicae à estabilidade a longo prazo.

O uso do osso autógeno,por conter células osteogênicas e fatores de crescimento,permanece como padrão-ouro em enxertia óssea. A técnicade Khoury, que utiliza lâminas finas de osso cortical associadasao osso particulado autógeno, permite uma regeneraçãotridimensional eficiente e estável, com redução do tempo totalde tratamento.2

Paralelamente, a presença de tecido gengival queratinizadoe espesso ao redor dos implantes tem sido considerada crucialpara o sucesso da reabilitação, tanto do ponto de vista funcionalquanto estético. Assim, a combinação de aumento teciduale regeneração óssea mostra-se promissora em casos de atrofia severa. Este trabalho apresenta um caso clínico que ilustrauma abordagem cirúrgica sequencial, contemplando o preparotecidual prévio e a aplicação da técnica de Khoury na mandíbulaposterior com perda óssea crítica.3

Relato de caso clínico

Paciente masculino, 52 anos, compareceu à clínicacom queixa de ausência dentária inferior posterior bilaterale desejo de reabilitação com implantes dentários. Ao exameclínico, verificou-se uma mucosa alveolar fina e a ausênciade gengiva queratinizada nas regiões edêntulas. A tomografiacomputadorizada de feixe cônico (TCFC) evidenciou a reabsorçãoóssea severa, comprometendo a instalação direta dos implantesdentários (Figura 1).

Etapa 1 – Cirurgia de enxerto de tecido conjuntivo subepitelial

Na primeira fase, foi realizada uma cirurgia para enxertode tecido conjuntivo visando o ganho de espessura e o aumentoda faixa de mucosa queratinizada. Assim, o enxerto foi coletadoda região palatina e fixado com suturas simples (Microsuture).O período pós-operatório evoluiu sem intercorrências, com boaintegração tecidual após três meses (Figura 2).

Figura 1 – Aspecto inicial e exame tomográfico inicial.
Figura 2 – Enxerto de tecido conjuntivo subepitelial removido do palato e desepitelizado em bancada.

Etapa 2 – Reconstrução óssea com Técnica de Khoury

Após a maturação do tecido gengival, procedeu-se ao preparodo leito receptor com incisão e descolamento mucoperiosteal,liberando-se o tecido lingual por meio do alívio da tensão musculardo milo-hióideo (Figura 3) com o descolador de Molt (Supremo Instrumentais). Em seguida, prosseguiu-se com a coleta de osso autógeno do ramo mandibular (área próxima ao leito receptor, do mesmo lado, conforme Figura 4). As lâminas ósseas foram adaptadas e fixadas nas corticais vestibular e lingual com parafusos de titânio (Orth – Implacil Osstem / Figura 5), criando um compartimento do tipo caixa, preenchendo-se o seu interior com osso particulado autógeno (Figura 6). A sutura foi realizada com pontos em colchoeiro horizontal seguidos de pontos simples interrompidos (Figura 7). A cicatrização foi considerada satisfatória.

Figura 3 – Retalho, descolamento mucoperiosteal e liberação de tecido até ultrapassar o plano oclusal dos dentes adjacentes.
Figura 4 – Coleta de bloco autógeno da região do ramo mandibular e preparo das lâminas por meio de cortes longitudinais com discos (American Burrs).

Figura 5 – Fixação das lâminas com técnica compressiva e parafusos Orth (Implacil Osstem).
Figura 6 – Preenchimento do “túnel” com osso autógeno particulado.
Figura 7 – Suturas com fio de PTFE (Microsuture) em colchoeiro horizontal e em pontos simples interrompidos.

Etapa 3 – Instalação de implantes dentários

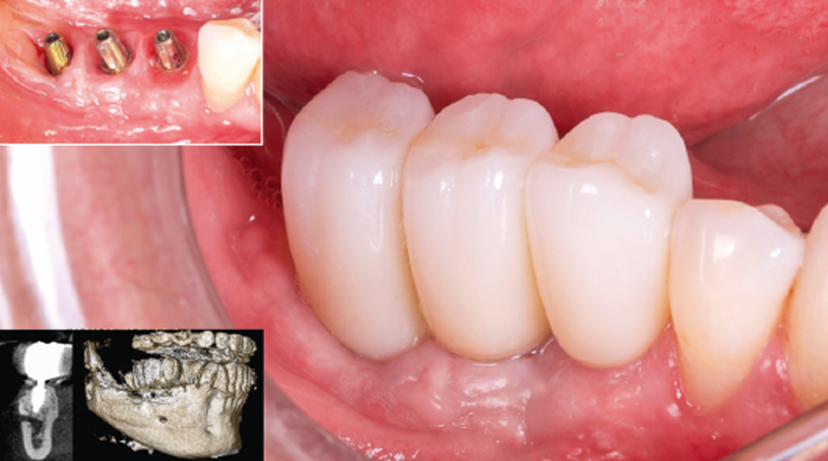
Após três meses, constatou-se a neoformação óssea adequada.Assim, foram instalados três implantes cone-morse Maestro (Implacil Osstem) com estabilidade primária satisfatória e aproximadamente 20 Ncm de torque de inserção (Figura 8). Após a instalação dos implantes, para ganho de volume tecidual e diminuição da remodelação do tecido ósseo, foi realizada a colocação de enxerto ósseo xenógeno com colágeno (Extra Graft, Implacil Osstem / Figura 9). Três meses após a osseointegração, os implantes foram reabertos para instalação dos pilares protéticos (Ideale, Implacil Osstem) e confecção das coroas provisórias, seguidas da finalização com as cerâmicas definitivas unitárias em zircônia monolítica após mais três meses de terapia (Figuras 9 e 10).

Figura 8 – Reabertura após o período de três meses para a instalação de três implantes Maestro (Implacil Osstem) de 3,5 × 10 mm.
Figura 9 – Cobertura da área enxertada com substituto ósseo xenógeno (Extra Graft, Implacil Osstem).
Figura 10 – Instalação de pilares Ideale (Implacil Osstem) e provisorização após três meses da instalação dos implantes e finalização das cerâmicas após seis meses. Controle de dois anos em TCFC.

Discussão

A técnica de Khoury, ou Split Bone Block (SBB), vem sendoamplamente adotada para o tratamento de defeitos ósseosseveros, principalmente na mandíbula posterior. Essa técnicapermite a regeneração óssea tridimensional por meio da fixaçãode lâminas ósseas corticais e do preenchimento com ossoparticulado autógeno.

Estudos demonstram que os enxertosautógenos apresentam propriedades osteocondutoras, osteoindutorase osteogênicas superiores às de outros materiais.4,5 Além disso, a revascularização precoce promovida pela técnicafavorece a integração do enxerto e minimiza o tempo de esperapara a instalação dos implantes dentários.6

Outro ponto essencial é a preparação adequada do tecidomole. A presença de uma faixa de gengiva queratinizada e espessa reduz a inflamação peri-implantar e melhora a estéticaa longo prazo.7 A associação do enxerto gengival préviocom a reconstrução óssea autógena é uma estratégia eficientepara garantir resultados previsíveis.

Apesar da complexidade cirúrgica e da necessidade de maistempo clínico, os resultados obtidos com a técnica de Khouryjustificam seu uso, especialmente em pacientes que buscamreabilitações estéticas e funcionais em áreas com reabsorçãoóssea severa. O caso relatado exemplifica a eficácia da abordagemem etapas, que proporciona ganho volumétrico significativoe base sólida para a reabilitação com implantes.

Conclusão

A técnica de Khoury, associada ao preparo tecidual com enxertogengival, mostrou-se eficaz para a reabilitação implantossuportadaem mandíbula posterior severamente atrófica.

A abordagem em etapas proporcionou previsibilidade, estabilidadeóssea e resultados funcionais e estéticos satisfatórios.

*Artigo publicado na revista ImplantNews em 2025.

Outros artigos para leitura: